
Becoming a mother is equally exciting every time, no matter how many times you’ve done it before. Did you know that you can get an idea about your baby’s size by comparing it to the vegetables in your kitchen?
At six weeks, your baby is as big as a pomegranate seed. While that may not seem significantly big, your baby is developing faster than you could imagine!
Book an online appointment with Dr Gopal Agrawal for pediatric/neonatal related issues
At six weeks, your baby is about ⅛ or ¼ inches long and looks something like a tadpole.
Read more: 19 weeks: Your Baby is Now the Size of a Mango


Learn more: 21 weeks: All You Need to Know About Your Carrot Sized Baby
Don’t miss Vaccination Schedule for your Baby, Book Home Vaccination Online.
Cloudnine will come to your doorstep to provide your babies with crucial vaccinations

Want to consult a Pediatric doctor? Book Online Consultation with the best Pediatrician in India
Apart from following these basic guidelines, do not hesitate to contact your doctor for every single doubt you may have. The doctors on Cloudnine are there for you 24x7. Do not fret too much about every small detail, sit back and relax. The journey to becoming a mother is a beautiful one, so try and make the most of it, while we at Cloudnine take care of the rest!
Do you want to know the "Estimated date of when your baby is due?" Check out Cloudnine's Pregnancy Due Date Calculator now!
Watch video on When should one expect to feel movements with twins
Want to consult the Best Pediatricians in India? Please find the links below.
At 6 weeks, about 2 weeks after you confirm your pregnancy, your baby is just the size of a pea or a grain of rice. By this time, the baby develops a heartbeat, and the limb buds appear. Facial features and organs begin forming around this time.
No, at 6 weeks, the baby is just about the size of a pea and is even difficult to find on an ultrasound scan. If you take a scan this early, it will be a transvaginal scan to check the site of implantation. The limb buds just begin to appear, so for the baby to make any movements, you will have to wait a few more weeks.
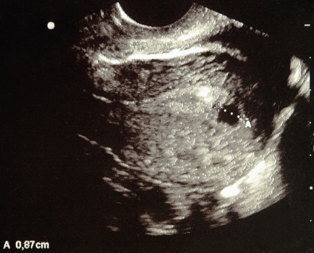
At 6 weeks of pregnancy, an early ultrasound known as a viability scan may be performed. The scan intends to check if the pregnancy is developing correctly and if the embryo has implanted inside the uterus. Your doctor may suggest such an early scan if you experience any pain or bleeding.
At 6 weeks, a transvaginal ultrasound can visualize the gestational sac and yolk sac. In the case of twins, they can see two sacs. However, they can miss a twin if one sac is hidden behind the other or if the twins share a sac. Twins sharing a sac are very rare and are called monoamniotic-monochorionic (MCMA) twins.